Элайнеры — это съемные ортодонтические капы, предназначенные для коррекции патологического прикуса. Они незаметны на зубах и почти не доставляют дискомфорта, в отличие от классических брекетов, благодаря чему элайнеры и капы так популярны в стоматологии.
Механизм действия элайнеров
Принцип работы зубных элайнеров основан на создании постоянного давления на челюсти, на фоне чего альвеолярная ткань начинает рассасываться. Это позволяет перемещать зубы в нужном направлении с целью коррекции дистального прикуса или других ортодонтических проблем.
На заметку!
Сила давления, которую элайнеры или капы оказывают на зубные ряды, стабильна и, одновременно с этим, умеренна. По этой причине с помощью элайнеров нельзя исправить сложные патологии прикуса и неровного расположения зубов.
Плюсы и минусы элайнеров
Положительные стороны:
- высокая эстетичность —элайнеры выглядят незаметными для окружающих;
- легкость в применении — пациент может сам снимать и надевать их;
- устойчивость внешнего вида — изделия не темнеют и не теряют своей прозрачности;
- безопасность для слизистых рта и зубов;
- возможность отбеливания зубов при заполнении кап специальным составом;
- комфортное ношение — привыкание к изделиям проходит быстро, пациент не ощущает значительного дискомфорта после установки элайнеров;
- простота ухода — ополаскиваний водой и чистки мягкой зубной щеткой от скапливающегося налета вполне достаточно;
- применение в любом возрасте, в том числе и в детском на фоне имеющегося молочного прикуса;
- оптимальные сроки лечения — исправление прикуса элайнерами не уступает по продолжительности коррекции брекетами;
- использование во время ретенционного периода — можно применять для закрепления достигнутого результата после лечения брекетами.
Отрицательные стороны:
- высокая цена элайнеров;
- невозможность исправить сложные ортодонтические проблемы;
- нарушение режима ношения может свести на нет весь процесс коррекции.
Показания и противопоказания
Элайнеры для зубов показаны в следующих случаях:
- скученность зубных элементов;
- незначительный наклон зубов;
- тремы и диастемы;
- нарушения прикуса;
- положение зубов вне челюстной дуги.

- кариес и болезни пародонта;
- аномалии костных тканей челюстей;
- непрорезавшиеся зубы;
- отсутствие зубов;
- заболевания альвеолярных тканей;
- твердый зубной налет;
- неготовность пациента ухаживать за полостью рта в соответствии с рекомендациями ортодонта.
Виды элайнеров
Существует несколько видов кап, используемых в ортодонтии.
Силиконовые
Изготавливаются из силикона, не предназначены для круглосуточного ношения. Изделия имеют прозрачный внешний вид и доступную стоимость. Чаще всего они используются в детском возрасте и на ретенционном этапе терапии с целью закрепления достигнутого результата.
Полиуретановые
Капы изготавливаются в индивидуальном порядке из биопластического гипоаллергенного материала с помощью 3D-технологий. Модели выполняются с точностью до 15 микрон в соответствии со слепками зубов пациента.
Процесс лечения зубов элайнерами, выполненными из полиуретана, в среднем составляет от 10 месяцев до 2 лет, за этот период может быть использовано более 30 изделий. Ношение одной пары обычно ограничивается сроком в 2 недели.
Круглосуточные и ночные
Круглосуточные капы пациент должен носить не менее 22 часов в сутки. Пауза длительностью более 4 часов нарушает процесс лечебного воздействия, и зубы перестают двигаться в нужном направлении. Только ответственный подход к терапии гарантирует успех начатого мероприятия.
Для ночного ношения капы врач назначает в ретенционный период, когда идет процесс закрепления достигнутого результата после лечения брекетами или элайнерами. Реже в ночные часы (не менее 12 часов) носят капы для коррекции незначительных ортодонтических проблем.
Взрослые и детские
Взрослые и детские капы отличаются по размерам, в остальном используемые материалы и принцип их работы аналогичны. В обоих случаях применяются легкие и эластичные материалы.
Дети более восприимчивы к насмешкам окружающих, поэтому капы для них внешне могут быть более прозрачны. Ношение выравнивающих приспособлений в любом возрасте предполагает максимальный комфорт, поэтому они изготавливаются индивидуально. При наличии показаний и детские, и взрослые устройства считаются хорошей альтернативой брекетам.
Важно!
Подобрать нужный вид кап для коррекции зубов может только врач с учетом особенностей ортодонтической патологии, так как границы элайнеров в плане эффективности сжаты определенным кругом показаний. Не следует приобретать такие изделия в интернете и носить самостоятельно без контроля специалиста.
Схема лечения элайнерами
Лечение на элайнерах выполняется по следующей схеме:
- Консультация и лечение. На первом осмотре врач оценивает состояние полости рта пациента, выявляет стоматологические заболевания и назначает их лечение, а также профессиональную чистку зубов.
- Выбор. После того, как полость рта санирована, врач подбирает вид элайнеров на зубы и разрабатывает тактику терапии.
- Снятие слепков. С помощью разогретого силикона врач берет оттиски зубных рядов пациента и направляет модели в лабораторию.
- Изготовление. На основании данных анамнеза и диагностики, формируется план лечения, который состоит из последовательных этапов, подразумевающих использование разных моделей элайнеров на одну челюсть или обе челюсти. Количество изделий в кейсе или комплекте определяется сложностью поставленного диагноза.
- Установка. На приеме у специалиста пациент получает стартовую капу и узнает, как правильно ее носить.
Сколько времени нужно носить элайнеры и как часто их меняют
Чтобы добиться положительных результатов, носить капы рекомендуется не менее 22 часов в сутки. Снимать изделия можно только во время приема пищи и для проведения гигиенических мероприятий. Каждый номер элайнера из персонального набора используется пациентом в течение определенного времени — в среднем 2 – 4 недели, после чего изделие заменяется на новое.
Продолжительность лечения прикуса элайнерами варьируется от 10 до 24 месяцев в зависимости от сложности диагноза и ответственного выполнения пациентом всех рекомендаций специалиста.
На заметку!
Быстрее работают элайнеры у детей и подростков, немного больше времени на коррекцию нужно взрослым.
Правила ношения и ухода за элайнерами
Уход за капами прост. Достаточно промывать их прохладной чистой водой и чистить мягкой зубной щеткой. Хранить изделия рекомендуется в индивидуальных чистых боксах, оснащенных специальными отверстиями для вентиляции.
Важно!
Поврежденные капы носить противопоказано — любая деформация в системе играет во вред, нарушая весь процесс лечебного воздействия в прошлом. Если устройства повреждены – нужно сразу же обратиться к ортодонту, не дожидаясь планового визита.
Принимать пищу в ортодонтических элайнерах нежелательно. После каждого снятия изделия ополаскивают прохладной водой.
Что лучше – элайнеры или брекет-система
Системы элайнеров и брекетов работают по единому принципу — они целенаправленно исправляют положение прикуса и неровных зубов. Но между этими изделиями есть существенная разница — капы не справляются со сложными ортодонтическими диагнозами, и тогда пациенту показано ношение брекетов.
Только врач может определить, руководствуясь состоянием прикуса пациента, какой вариант коррекции для него применим. Если возникла ситуация, что одинаково помочь может и тот, и другой способ терапии, специалист проводит беседу, уточняя преимущества и недостатки каждого метода.
По эстетике и комфорту лечебного воздействия выигрывают съемные прозрачные элайнеры. В несложных ортодонтических случаях они считаются лучшей альтернативой брекетам.
Болят ли зубы от элайнеров
Большинство пациентов отмечает, что лечение у них проходит достаточно комфортно. Адаптация к пластинкам длится всего несколько часов, реже до двух дней, в течение которых человек может чувствовать дискомфорт и ощущение инородного тела на зубах. При каждой замене кап, болезненность ненадолго возвращается, что вполне нормально, ведь на челюсти оказывается механическое давление.
Можно ли носить элайнеры при отсутствии нескольких зубов
Отсутствие одного или нескольких зубов является противопоказанием к использованию кап. Выравнивающие модели могут исправить наклон и незначительные смещения в челюстном ряду, скорректировать имеющиеся щели, но не компенсировать промежутки, оставшиеся после потерянных ранее зубных элементов.
Популярные бренды
Врачи могут предложить пациентам несколько видов элайнеров для выравнивания зубов от разных производителей.
- Популярные многофункциональные капы компании Align Technology. Обладают широким списком показаний. У изделия есть только два минуса — высокая цена и долгие сроки изготовления (от 3 месяцев).
- 3D Smile. Капы отечественного производителя. Они являются копией Invisalign, но уступают им по силе ортодонтического воздействия, так как действуют более умеренно. Стоимость 3D Smile доступнее американского изделия, к тому же срок изготовления кап занимает не больше 14 дней.
- Star Smile. Неплохая российская альтернатива Invisalign. Изделия изготавливаются из материалов высокого качества в максимально сжатые сроки.
Сколько стоят элайнеры
Стоимость лечения зависит от таких факторов, как сложность ортодонтического случая, статус клиники, количество кап и пр. Сколько их понадобится пациенту, зависит от особенностей его прикуса. В среднем только за элайнеры в стоматологии нужно заплатить от 80 до 250 тысяч рублей.
Самая дорогая система, предлагаемая в клиниках Москвы и Санкт-Петербурга, – Invisalign. В зависимости от сложности диагноза этот бренд обойдется пациенту в 160 – 250 тысяч рублей. Капы 3D Smile и Star Smile обойдутся дешевле — от 80 до 195 тысяч рублей.
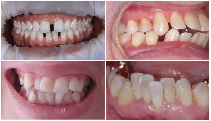
Результаты ношения элайнеров
На следующих фото до и после наглядно продемонстрированы результаты выпрямления зубов элайнерами в ортодонтии.
Отзывы
Хотела исправить прикус, но боялась носить брекеты, считая, что это больно и некрасиво. Недавно узнала о возможности одеть косметические элайнеры — прозрачные пластинки, которые постепенно расшатывают зубы и выравнивают их. Сейчас я их счастливая обладательница, ношу и незаметно исправляю свою улыбку.
Милана, г. Москва
Элайнеры, каппы, брекеты — не знала, что выбрать перед посещением ортодонта. Хотелось оставаться красивой на время лечения. Врач посоветовал прозрачные пластинки, выглядят они классно, и я рада, что их установила. Ношу 22 часа в сутки, а то и больше. По цене дороговато, за полгода отдала более 100 тысяч, но это эстетическая стоматология и дешевой она быть не может.
Юля, г. Санкт-Петербург
Итог
Ношение элайнеров — замечательная идея, но область их применения не так широка, как у классических брекетов. Капы хороши для коррекции несложных проблем с прикусом и скученностью зубов, но в серьезных ситуациях они бессильны. Перед тем, как решиться на исправление зубов элайнерами, важно найти хорошего специалиста и подобрать свой способ лечения.
Частые вопросы
Какие проблемы исправляют элайнеры для прикуса зубов?
Элайнеры для прикуса зубов могут помочь исправить различные проблемы, такие как перекрестный прикус, глубокий прикус, открытый прикус, неправильное выравнивание зубов и неправильная позиция челюстей.
Как работают элайнеры для прикуса зубов?
Элайнеры для прикуса зубов работают путем постепенного перемещения зубов в правильное положение. Они изготавливаются индивидуально под каждого пациента и надеваются на зубы. Пациенты должны носить элайнеры в течение определенного времени каждый день, чтобы достичь желаемых результатов.
Как долго нужно носить элайнеры для исправления прикуса зубов?
Длительность ношения элайнеров для исправления прикуса зубов зависит от сложности проблемы и индивидуальных потребностей пациента. В среднем, пациенты должны носить элайнеры от 6 до 18 месяцев, но это может варьироваться в зависимости от конкретной ситуации.
Полезные советы
СОВЕТ №1
Перед тем, как начать использовать элайнеры для исправления прикуса зубов, обязательно проконсультируйтесь с ортодонтом. Только специалист сможет определить, подходят ли элайнеры именно вам, и разработать индивидуальный план лечения.
СОВЕТ №2
Следуйте инструкциям по использованию элайнеров. Они должны быть носимыми в течение определенного времени каждый день. Не пропускайте ношение элайнеров, так как это может замедлить процесс исправления прикуса и повлиять на конечный результат.
СОВЕТ №3
Поддерживайте хорошую гигиену полости рта во время использования элайнеров. Регулярно чистите элайнеры и зубы, чтобы предотвратить накопление бактерий и появление кариеса. Используйте специальные щетки и пасты для чистки элайнеров, которые рекомендует ваш ортодонт.





