Эстетическая стоматология развивается большими темпами и предоставляет свой спектр услуг. Это стоит немалых денег, что заставляет людей тщательно изучать и взвешивать всю полученную информацию, прежде чем решиться на ту или другую процедуру. Один из наиболее беспокоящих людей вопросов – портятся ли зубы под винирами.
Почему могут портиться зубы под винирами
Зубная эмаль не повреждается просто из-за наличия виниров, поскольку сами эти объекты никаким образом не влияют на зубные ткани. Если под керамическими винирами разрушились зубы, то причиной тому могут стать какие-либо процедуры или состояния, которые происходили или возникали до установки зубных накладок.
Есть несколько процессов, значительно повышающих риск возникновения патологических реакций под винирами, которые в результате и портят свои зубы.
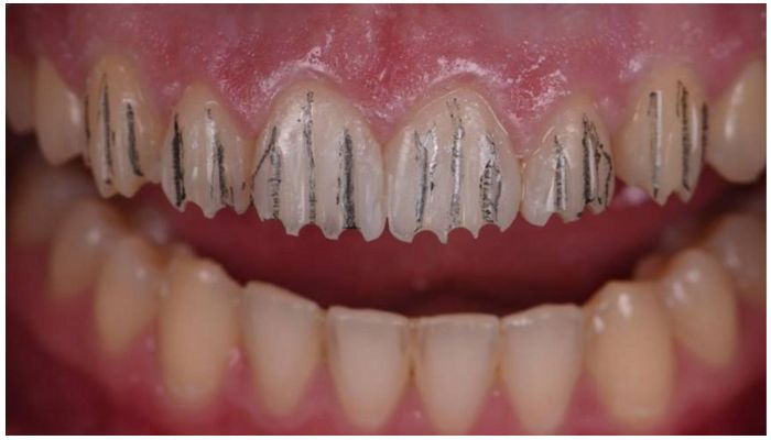
- Стачивание эмали. Для наиболее естественного вида, а также для плотной посадки винира на зуб необходимо произвести удаление или обтачивание эмали настолько, насколько толстая накладка будет устанавливаться. Если пациент обращается в клинику с целью устранить широкий межзубный промежуток (коррекция диастемы и тремы), то его положение более выгодное. Это связано с тем, что снятие эмалевого слоя происходит только с наружной поверхности, а контактные стороны остаются в целости.
- Борьба с кариозными процессами. Прежде чем приступить к процедуре, должен быть проведен врачебный осмотр ротовой полости. Цель такого мероприятия заключается в определении возможных рисков развития кариеса. Лечению подвергаются даже наиболее незначительные признаки болезни. Иначе свои зубы под винирами подвергаются развитию кариозного процесса, что в итоге приведет к их разрушению.
- Специфическая обработка эмалевого слоя. Зубные поверхности подвергаются протравливанию особым раствором. Благодаря ему фиксация эстетических накладок значительно улучшается. Данный раствор не вредит здоровому зубу, но если пациент страдает нарушением обмена минеральных веществ или его эмалевое покрытие находится в дефицитном состоянии, то велика вероятность повреждения тканей зуба кислотным раствором, что влечет за собой их разрушение.
Есть две самые весомые причины, которые ведут к порче зубов под винирами.
- Обращение к специалисту с низкой квалификацией. Врач с недостаточной компетенцией может проигнорировать некоторые состояния, которые входят в число противопоказаний к установке восстановительных пластин. Это такие патологические состояния: бруксизм, недоразвитость эмалевого слоя (гипоплазия), а также нарушенный прикус.
- Пренебрежение личной гигиеной. Если уход за ротовой полостью осуществляется в недостаточном объеме, то может развиваться воспаление десен. Это оголяет зубную шейку и влечет за собой возникновение кариозных повреждений в этой области. Многие люди испортили зубы под эстетическими пластинками именно таким способом.
Важно!
Все существующие вопросы и возможные риски должны быть обговорены заранее. Снять уже установленную накладку самостоятельно невозможно, а в условиях стоматологической клиники не только потребует денег и времени, но и приведет к нарушению состояния собственной эмали.
Как предотвратить разрушение зубов после установки виниров
Существует ряд правил, следуя которым, можно сохранить здоровье ротовой полости в отличном состоянии и обладать красивой и сияющей улыбкой.
- Выбирать специалиста и клинику необходимо с особенным вниманием. Один из несложных критериев выбора – это честность персонала. Пациенту должны рассказать о всех возможных проблемах и рисках, с которыми он может столкнуться, а также предложить другие услуги в случае выявления противопоказаний к установке виниров. Следует обратить внимание на сертификаты материалов, используемых в клинике. Они должны иметь разрешение к применению в медицине. Врач может предложить установку аналогичных и более тонких пластин – люминиров. В этом случае следует удостовериться в том, что его квалификация достаточна для проведения такой манипуляции.
- Зубы гниют под винирами, если пренебрегать личной гигиеной. Пластина покрывает зубную ткань только снаружи, а задняя поверхность не закрыта ничем. Если гигиена полости рта проводится в недостаточном объеме, то сформировавшиеся сзади отложения приведут в итоге к разрушению собственной эмали. Необходимо ежедневно использовать не только зубную щетку, но и ополаскиватель, и зубную нить. По рекомендации врача может потребоваться ирригатор.
- Виниры тоже требуют особого ухода. Он может быть различным в зависимости от материала, из которого накладки изготовлены. Важно четко выполнять все врачебные рекомендации относительно этого ухода.
- Нельзя нагружать зубы с винирами. Эти накладки выполняют исключительно эстетическую функцию. Нельзя кусать или жевать слишком твердую пищу. Даже если сам винир не расколется, на нем каждый раз образуются микротрещины. Их не видно глазом, но достаточно для проникновения кариозных микроорганизмов в зубную ткань.
Итог
Виниры представляют собой особые накладки на зубы, которые помогают скорректировать их форму или цвет, но не защищают ткани от разрушения болезнетворными микроорганизмами. Сама по себе такая пластинка не оказывает влияния на зуб и не ухудшает его состояние. Отзывы людей, которые воспользовались данной услугой, говорят о том, что при правильном и регулярном уходе зубы под винирами сохраняют свое здоровое состояние.
Частые вопросы
Может ли возникнуть гниение зубов под винирами?
Нет, гниение зубов не может возникнуть под винирами. Виниры изготавливаются из материалов, которые не подвержены гниению, таких как керамика или композитные смолы. Однако, необходимо поддерживать хорошую устную гигиену и регулярно посещать стоматолога для предотвращения развития кариеса и других проблем со здоровьем зубов.
Можно ли развить кариес под винирами?
Возможность развития кариеса под винирами минимальна. Виниры плотно прилегают к поверхности зубов, что предотвращает проникновение бактерий и пищевых остатков. Однако, если у пациента недостаточно хорошая устная гигиена или имеются проблемы с кариесом до установки виниров, то существует риск развития кариеса под ними. Поэтому важно следить за устной гигиеной и регулярно посещать стоматолога для профилактического осмотра и чистки зубов.
Как долго прослужат виниры без развития проблем со здоровьем зубов?
Срок службы виниров зависит от многих факторов, включая качество материалов, правильность их установки и ухода за ними. В среднем, виниры могут прослужить от 10 до 15 лет. Однако, иногда может потребоваться их замена раньше, если произошла поломка, изменение цвета или формы, или возникли другие проблемы. Регулярные посещения стоматолога и соблюдение рекомендаций по уходу помогут продлить срок службы виниров.
Полезные советы
СОВЕТ №1
Регулярно посещайте стоматолога для профилактического осмотра и контроля состояния зубов под винирами. Только специалист сможет определить, есть ли проблемы с зубами и принять необходимые меры.
СОВЕТ №2
Правильно ухаживайте за зубами и винирами. Регулярно чистите зубы с помощью мягкой зубной щетки и специальной пасты, используйте зубную нить или зубные протирки для удаления остатков пищи. Также рекомендуется избегать употребления красящих продуктов, таких как кофе, чай или красное вино, чтобы предотвратить изменение цвета виниров.






