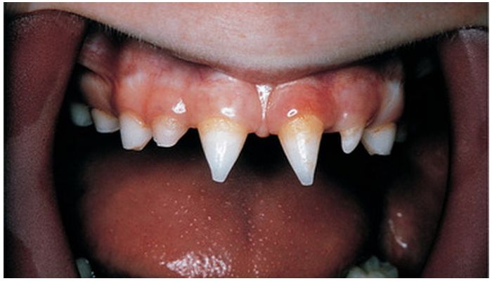
Шиповидные зубы – это редкая неправильная форма зубных коронок, при которой они приобретают вид зауженного к нижнему краю конуса. У таких зубов нет четко обозначенной передней и задней поверхности. Конические или шиловидные зубы развиваются у одного пациента на тысячу населения. Они не только доставляют неприятности в психологическом плане, но и вызывают травмы мягких оболочек ротовой полости. По МКБ 10 патология имеет код K00 – Нарушения развития и прорезывания зубов.
Причины неправильного формирования формы зубов
Были проведены длительные и объемные исследования, позволившие установить основные причины, которые способствуют появлению зубов шиповидной формы.
- Атавизм. Это ситуация, при которой ДНК изменяется генетически, что оказывает влияние не только на форму, но и на формирование повышенной комплектации зубных элементов.
- Расщепленный зачаток. Его пластина развивается неправильно, что и влечет за собой аномалию формообразования.
- Недуги общего типа. В эту категорию попадают все заболевания, которые создают нарушенные обменные процессы.
- Дефицит витамина D. Это состояние оказывает воздействие на образование костных тканей.
- Нефротический синдром.
- Болезни, имеющие аутоиммунное происхождение, а также сифилис и краснуха.
- Если у ребенка недостаточный срок вынашивания или слишком маленький вес.
Какие зубы подвержены патологии
Такие патологические (шиповидные) зубные элементы обычно занимают центровые локации на верхней челюсти. Чаще они бывают сверхкомплектными и располагаются между центральным и боковым резцом. Лишними в зубном ряду могут быть как молочные зубы, так и постоянные. Если аномальная форма спровоцирована наличием какой-то патологии, то могут прорезаться у детей на месте резцов любой локализации.
Виды конических зубов
Стоматологи на базе клинических наблюдений сформировали несколько вариантов шиповидных зубов. Каждый отдельный вид характеризуется собственными клиническими признаками и особенностями в строении.
- Шипообразные зубы. У этого варианта аномальных зубов наблюдается чрезмерно зауженная коронка. Форма имитирует конус. Визуально такой элемент похож на шип. Основание немного расширено, но эта ширина незначительно превышает размеры стандартного зуба. Элементы могут обладать как укороченной коронкой, так и очень длинной. Корневая же часть слишком узкая и короткая. Такие зубы нередко расшатываются. Формирование аномальных объектов представлено в виде рудиментарных боковых резцов. Располагаются они на верхней челюсти. Главная причина их образования – это расщелина неба (эктодермальная дисплазия). Патология сочетается с крупными межзубными расстояниями, которые возникают из-за маленьких габаритов рудиментарных объектов.
- Зубы Гетчинсона. Такая аномальная форма образуется как следствие гипоплазии системного характера. Она напоминает своим видом бочку или отвертку и имеет отдельный код по МКБ10 – A50.5. На режущем крае таких зубных элементов имеется особая выемка, схожая с полумесяцем. Эмаль покрывает ее только на боковых участках. Дно полукруглой лунки лишено эмалевого слоя или он там сильно истончен. Данный признак является характерным отличием для данной аномалии. Такие резцы формируются у детей, матери которых во время беременности перенесли сифилис или краснуху.
- Зубы Пфлюгера. Эта аномалия формируется на премолярах, что отличает ее от ранее описанных искривлений. Визуально деформированные зубы напоминают цветочный бутон, который еще не раскрыт. Зуб имеет неправильную форму бочонка и измененный поверхностный слой. Он покрыт небольшими дефектами в виде точек, углублений или бороздок, которые имеют горизонтальное направление. Шейка и режущая часть зуба увеличены, что нехарактерно для стандартных коронок, а жевательные бугорки недоразвиты. Дентин при этой патологии сильно истончен, что приводит к высокой чувствительности на постоянной основе.
Способы лечения
Исправить зубы с аномальной шиповидной формой коронок можно разными методами, но все они применяются после того, как сформируется постоянный прикус.
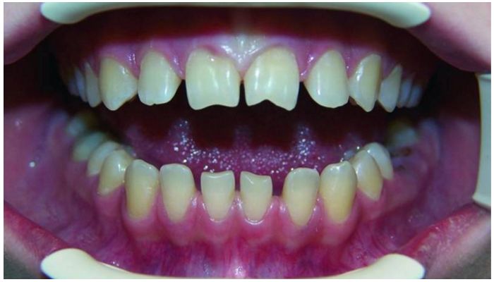
- Протезирование. Выполняется с использованием коронок, в основе которых – металлокерамика. Их поверхность с максимальной точностью передает как структуру, так и оттенок эмалевого слоя пациента. В процессе обязательно применяется препарирование зубных тканей объемного типа.
- Эстетические накладки (виниры). Это особые тонкие пластины, которые выполнены из керамики. Они крепятся на переднюю (вестибулярную) зубную поверхность. В этой ситуации обработка зуба минимальная и очень щадящая.
- Реставрация композитным материалом. Это альтернативный винирам способ, который обходится пациенту гораздо дешевле. Зубы при таком варианте обтачивают не более, чем на полтора миллиметра, а затем им придается правильная форма посредством послойного нанесения композитной светоотверждаемой массы.
- Удаление шиповидных зубных элементов. Эта процедура необходима при наличии лишних или сильно деформированных по форме и размеру зубов. После устранения аномальных элементов необходимо восстановления зубного ряда посредством имплантов.
Возможные последствия
Если лечение шиповидных зубов не проводится или коррекция выполняется неправильно, то вероятность развития осложнений очень высока. Болезнь прогрессирует и снижает защитные свойства эмалевого слоя. Это провоцирует следующие негативные последствия:
- чувствительность значительно увеличивается;
- кариозная болезнь стремительно развивается;
- формируется патологическое смыкание зубов (прикус);
- повышается скорость изнашивания эмали;
- постепенное поражение глубоких тканевых слоев;
- потеря зубов.
Все эти процессы постепенно нарушают пищеварительные реакции и приводят к развитию хронических патологий пищеварительной системы.
Профилактика появления патологий зубов
Когда зубы шиповидной формы уже прорезались, никакие профилактические методы не помогут. Главным профилактическим мероприятием является устранение факторов, которые делают возможным появление аномальных шиповидных зубов и воздействуют на беременную женщину в период активного внутриутробного развития органов и тканей плода. Будущая мама должна тщательно следить за своим рационом, лечить все болезни своевременно и укреплять защитные функции организма, а также стараться избегать обострения хронических патологий.
Также необходимо следить за тем, чтобы первые годы жизни малыша были максимально здоровыми. Избежать проблем с коренными зубами помогут следующие действия:
- регулярная комплексная гигиена полости рта;
- здоровый рацион питания;
- профилактические медосмотры у стоматолога;
- сохранение целостности эмалевого слоя;
- своевременное лечение зубных недугов.
Итог
Шиповидные зубные коронки представляют собой аномальную форму развития и встречаются нечасто. Основной причиной их появления являются различные патогенные факторы, воздействующие на плод во внутриутробном развитии. Предотвратить развитие аномалии можно только до момента, когда зубы у ребенка прорежутся. Если профилактика не удалась, то коррекцию шиповидных зубных элементов производят, когда прикус сформируется на постоянной основе. Существует несколько методов исправления шиповидных коронок, и все они достаточно эффективны. Какой из способов подходит в конкретном случае, должен выяснить специалист.
Частые вопросы
Какие методы исправления шиповидных зубов существуют?
Существует несколько методов исправления шиповидных зубов, включая ортодонтическое лечение с помощью брекет-системы или прозрачных съемных элайнеров, виниры или коронки, а также косметическую реставрацию зубов.
Как работает ортодонтическое лечение для исправления шиповидных зубов?
Ортодонтическое лечение для исправления шиповидных зубов обычно включает использование брекет-системы или прозрачных съемных элайнеров. Брекеты или элайнеры помогают постепенно перемещать зубы в нужное положение, создавая более ровный и выровненный укус.
Какие преимущества виниров и коронок при исправлении шиповидных зубов?
Виниры и коронки могут быть использованы для исправления шиповидных зубов, предоставляя быстрое и эффективное решение. Они могут изменить форму и размер зубов, создавая естественный и привлекательный улыбку. Кроме того, виниры и коронки могут улучшить функциональность зубов и защитить их от дальнейших повреждений.
Полезные советы
СОВЕТ №1
Обратитесь к стоматологу. Шиповидные зубы могут быть результатом неправильного развития зубной эмали или других структур зубов. Только специалист сможет определить причину и предложить наиболее эффективные методы исправления.
СОВЕТ №2
Избегайте перенапряжения зубов. Шиповидные зубы могут быть более чувствительными к повреждениям и износу. Постарайтесь избегать привычек, которые могут нанести дополнительный вред, таких как скрежетание зубами или открывание бутылок зубами.
СОВЕТ №3
Поддерживайте хорошую устную гигиену. Регулярное чистка зубов, использование зубной нити и промывание ротовой полости помогут предотвратить развитие кариеса и других проблем, которые могут усугубить состояние шиповидных зубов.






