Прогнатия — это дистальный прикус, характеризующийся неправильным смыканием зубов вследствие выдвижения вперед верхней челюсти. Если у человека обратная ситуация и впереди оказывается нижняя челюсть, речь идет о прогении или прогнатизме нижней челюсти.
Причины
Развитию прогнатии способствуют следующие факторы:
- ЛОР-заболевания. на фоне которых человек привыкает дышать ртом, что в конечном итоге приводит к вытягиванию верхней челюсти вперед;
- заболевания челюстно-лицевого аппарата, в том числе связанные с рахитом;
- вредные привычки сосать палец, нижнюю губу, долгое пользование пустышкой;
- нарушения осанки, сутулость;
- ранняя потеря молочных зубов;
- отрицательное влияние на плод во время внутриутробного развития инфекционными и воспалительными заболеваниями матери, дефицитом фтора и кальция;
- неблагоприятная наследственность.
Классификация
В стоматологии выделяют 4 формы дистального прикуса:
- I — ретрогнатия или недостаточное развитие нижней челюсти при физиологически развитой верхней;
- II — макрогнатия или избыточное увеличение верхней челюсти на фоне увеличенного размера зубов, нижняя челюсть развита без отклонений;
- III — недоразвитие нижней челюсти и чрезмерное развитие верхней;
- IV — верхние зубы выступают вперед только на ограниченном переднем участке.
Также для прогнатии характерны три формы развития:
- Истинная — ярко выражены симптомы дистального прикуса, лицевой отдел в средней части значительно выдается вперед. Верхняя губа укорочена. Наблюдается напряжение мышечного аппарата рта.
- Ложная или старческая — верхние зубы выходят за нижнюю губу, постоянно надкусывая ее. Человек не может полностью закрыть рот.
- Двойственная — веерообразное расхождение или скученность верхних зубов, появление просвета между ними.
На заметку!
Также существует вид физиологической прогнатии, для которой характерно умеренное выдвижение зубов верхней челюсти. Этот прикус обеспечивает полноценную жевательную функцию челюстей, поэтому является правильным, несмотря на морфологические особенности строения зубного ряда.
Симптомы и диагностика
Для прогнатии характерно несоответствие смыкания зубов обеих челюсти. Верхние моляры нередко оказываются немного смещены назад, а резцы выдвинуты под углом кпереди. Клиническая картина челюстного ряда может дополняться тремами и диастемами — промежутками между зубами.
Дистальный прикус редко выявляется как самостоятельная патология. У 80% пациентов речь идет о комбинации прогнастического и глубокого прикусов, на фоне которой верхние зубы закрывают нижние минимум на половину. Контакт между фронтальными зубами будет отсутствовать на обеих челюстях.
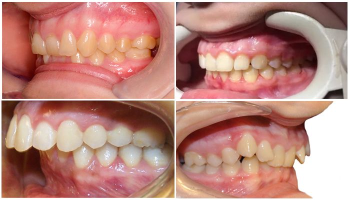
Специалист в процессе осмотра оценивает не только степень окклюзии, но и профиль лица, и симптомы патологии. Визуально клинические проявления видны на фото прогнатии — для них характерны следующие симптомы:
- круглое лицо;
- полуоткрытый рот;
- уменьшенная нижняя треть лица;
- глубокая складочка в зоне подбородка;
- расположение зубов «веером»;
- расположение нижней губы за верхними зубами.
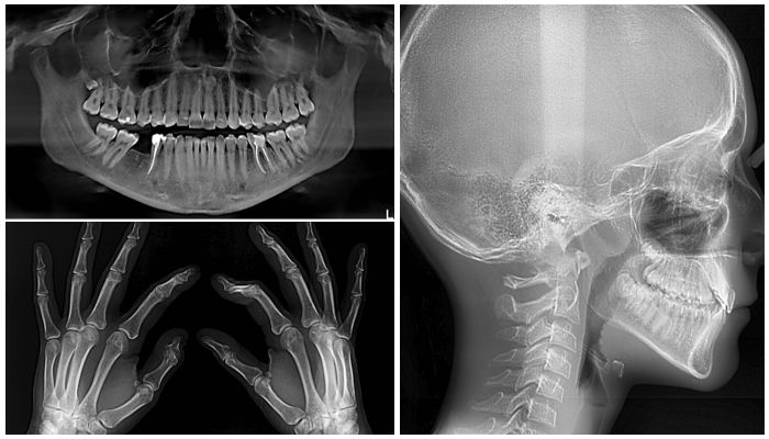
Диагноз устанавливается на данных комплексного обследования:
- сбор анамнеза — врач уделяет внимание поиску причины сформировавшейся аномалии;
- осмотр — выявление визуальных симптомов патологического прикуса;
- снятие снимков и изучение диагностических моделей челюстей;
- рентгеновские методы — ортопантомограмма, телерентгенограмма в боковой проекции, рентген кистей рук для определения стадии развития челюстей.
Способы лечения неправильного прикуса
При истинной форме прогнатии исправление неправильного прикуса пациента сопровождается определенными сложностями. Если у подростка или взрослого уже сформировался постоянный прикус, в большинстве случаев ему рекомендована коррекция хирургическим вмешательством, так как патология нередко совмещена с другими не менее серьезными диагнозами, к примеру — глубоким прикусом.
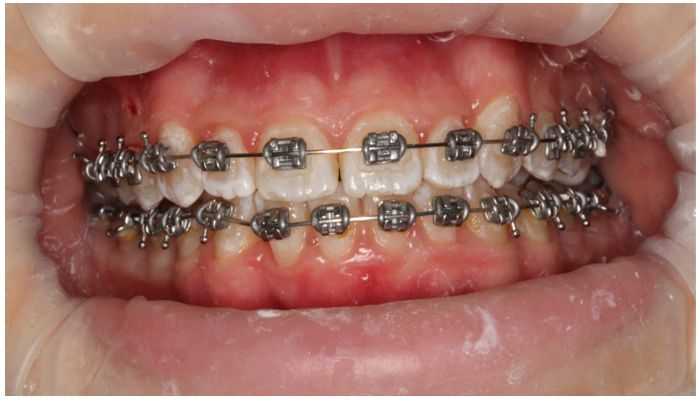
Ортопедические методы при сформировавшейся прогнатии практически не имеют силы. Только у небольшого числа пациентов можно замаскировать прогнатию удалением отдельных моляров и длительным ношением брекетовых системам.

- инструменты-активаторы, которые стимулируют рост нижней челюсти и мешают развитию верхнего челюстного ряда;
- давящие повязки, предупреждающие процесс роста костной ткани;
- аппарат Френкеля, придающий челюсти анатомически правильное строение.
Важно!
Одновременно с этим родителям важно следить за тем, чтобы ребенок не засосывал посторонние предметы и пальцы в рот. При наличии ЛОР-заболеваний и постоянного ротового дыхания нужно проконсультироваться с отоларингологом.
Хирургическая коррекция прогнатии основана на рассечении тканей челюсти и направлении ее в сторону под углом, при котором зубы начинают правильно смыкаться друг с другом. После этого на костные элементы накладываются шины, спустя 2 месяца ожидается их срастание. После окончания реабилитационного периода у пациента диагностируется физиологический прикус, черты его лица в большинстве случаев становятся более эстетичными.
Что будет, если не исправлять прикус
Прогнатию верхней челюсти у ребенка рекомендуется исправлять до 14 лет, после может быть уже поздно. Если игнорировать лечение, у взрослого человека могут возникнуть следующие осложнения:
- патологическая окклюзия или нарушение эстетических черт лица — выдвижение вперед челюсти и уменьшенная форма подбородка провоцируют комплексы, связанные со внешностью, что становится причиной снижения самооценки;
- нарушение функций жевания и глотания — неправильное смыкание зубов требует от человека на 30% больше усилий для пережевывания пищи, если сравнивать с нормой;
- расстройства дикции — появление логопедических проблем.
Также у лиц с прогнатией отмечается повышенный риск развития стоматологических заболеваний — кариеса, пульпита, гингивита и пародонтита. Это связано с высокой степенью нагрузки на отдельные участки пародонта и зубы.
Профилактика формирования неправильного прикуса
Если у одного или обоих родителей, или их ближайших родственников имеются признаки дистального прикуса или прогнатии нижней челюсти, они должны понимать, что вероятность рождения ребенка с такой же проблемой достаточно высока. По этой причине важно показать малыша стоматологу после прорезывания 10 молочных зубов. Алгоритм дальнейших действий будет определен специалистом индивидуально.
Для профилактики дистального прикуса рекомендуется придерживаться следующих правил:
- естественное вскармливание минимум до наступления года ребенка;
- своевременное и правильное введение прикорма;
- полноценное питание и достаточное поступление в организм фосфора и кальция в период беременности;
- закаливание малыша с целью предупреждения ЛОР-заболеваний;
- недопущение развития вредных привычек, таких как сосание пальца, длительное пользование пустышками и сосками после прорезывания молочных зубов;
- соблюдение режима дня, организация правильного питания.
На заметку!
Более пристального внимания требуют дети, появившиеся на свет с наступлением зимы или рожденные в северных широтах. Им с первых месяцев жизни рекомендованы курсы искусственного облучения и прием витамина D для более гармоничного формирования костной ткани.
Итог
Прогнатию относят к аномалиям прикуса, связанным с несоответствием величины челюстей в сагиттальном направлении. Заболевание можно скорректировать ортопедическими методами в детском возрасте. При формировании постоянного прикуса у большинства пациентов качественно исправить патологию можно лишь хирургическим путем.
Частые вопросы
Какие причины могут вызывать прогнатию верхней и нижней челюсти?
Прогнатия верхней и нижней челюсти могут быть вызваны различными факторами, включая генетическую предрасположенность, неправильное развитие челюстно-лицевой области, привычки сосания пальца или пустышки, а также неправильное положение языка при глотании.
Какие проблемы могут возникнуть из-за прогнатии верхней и нижней челюсти?
Прогнатия верхней и нижней челюсти может привести к различным проблемам, таким как неправильное прикусение, затруднения при жевании и глотании пищи, речевые проблемы, а также эстетические дефекты, которые могут негативно сказываться на самооценке и психологическом благополучии человека.
Какими методами можно лечить прогнатию верхней и нижней челюсти?
Лечение прогнатии верхней и нижней челюсти зависит от степени и причин этого состояния. В некоторых случаях может потребоваться ношение ортодонтических аппаратов, таких как брекеты или съемные аппараты, для коррекции прикуса. В более серьезных случаях может потребоваться хирургическое вмешательство для перестройки костей челюстей. Консультация со специалистом ортодонтом или челюстно-лицевым хирургом поможет определить наиболее эффективный метод лечения в каждом конкретном случае.
Полезные советы
СОВЕТ №1
Регулярно посещайте стоматолога для профилактического осмотра и чистки зубов. Это поможет выявить проблемы с прогнатией челюстей на ранних стадиях и предотвратить их развитие.
СОВЕТ №2
Поддерживайте правильную осанку и положение челюстей в повседневной жизни. Старайтесь держать голову прямо, не опускать ее вниз и не вытягивать вперед. Это поможет снизить нагрузку на челюсти и предотвратить их деформацию.
СОВЕТ №3
Избегайте неправильных привычек, которые могут негативно сказаться на прогнатии челюстей. Не грызите ногти, не жуйте ручку или другие предметы, не зажимайте зубы во время стресса. Эти действия могут привести к неправильному развитию челюстей и деформации зубов.




