Для установки брекетов нужны снимки панорамного типа и боковой проекции или ортопантомограмма и телерентгенограмма сбоку. Если есть спорные или нечеткие моменты, то делают еще прицельный рентген. Это дает возможность изучить ситуацию касательно конкретного зуба.
Снимки для установки брекетов
Диагностика перед установкой брекет-систем может включать в себя три вида изображений.
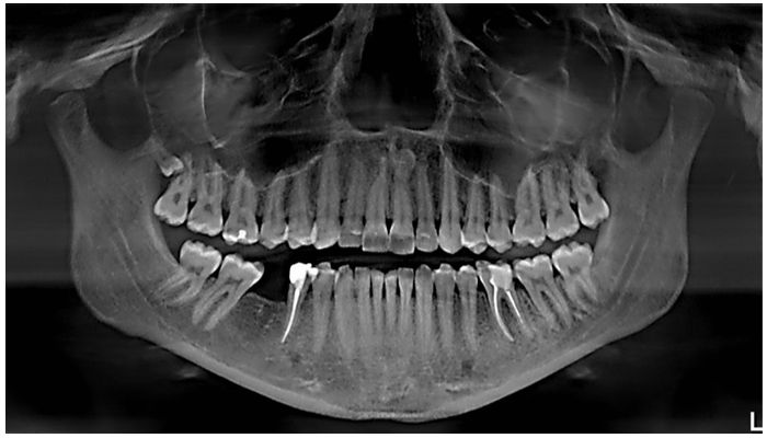
Панорамный
Один из самых популярных методов обследования перед лечением. Такой снимок зубов для брекетов называется панорамный, поскольку позволяет судить о том, в каком состоянии все зубы пациента.
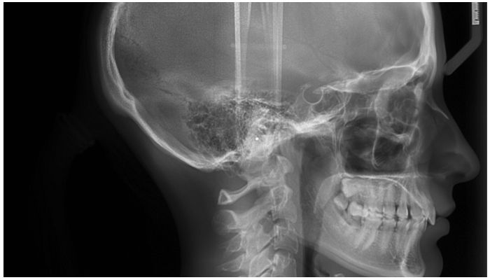
В боковой проекции
Этот специфический рентген является обязательным, когда планируется составление алгоритма ортодонтического лечения. Он изображает вид в профиль челюстей.
Прицельный снимок (при необходимости)
На современном оборудовании можно получить два варианта таких снимков:
- интерпроксимальный, чтобы получить информацию о том, в каком состоянии находится зубная коронка;
- периапикальный, для изучения тканей, окружающих зубной корень.
Зачем нужны снимки
Необходимость рентгена обусловлена следующими факторами:
- Панорамное изображение дает возможность проанализировать последствия лечения зубов, состояние их корневой части, тканей пародонта. Можно увидеть, насколько качественны протезы или коронки, установленные в полости рта пациента. Ортодонты на таких снимках определяют наличие зубных элементов сверх комплекта, в зачаточном состоянии, а также состояние костной ткани.
- Диагностика перед брекетами обязательно включает в себя боковой рентген. Эта форма служит для создания плана лечения. Дает возможность произвести ряд расчетов, вычислить необходимые углы и уточнить параметры, необходимые для процесса лечения. Рентгенологическое изображение определяет размеры челюстей, их соотношение и положение друг относительно друга. Все это позволяет врачу планировать крепление и возможность дальнейших действий в работе с коррекционными системами.
- Использование прицельного рентгена в составе обследования необходимо для уточнения информации об отдельных элементах и тканях ротовой полости, если изображение панорамного снимка трактуется неоднозначно.
Другие процедуры для установки брекетов
Кроме создания и изучения рентгенологических изображений до установки брекет-систем должны быть проведены и другие процедуры.
- Если есть старые и некачественные пломбы в зубах, их следует заменить.
- Должна быть исправлена некачественная пломбировка каналов. Если после лечения каналов зуба, они не полностью запломбированы, то это следует исправить. В противном случае неправильно пролеченные каналы станут очагом хронической инфекции
- Необходимо решить проблему воспаленных десен. В большинстве случаев причиной ее развития становится зубной камень.
- Делаются слепки зубов.
- Перед помещением в рот брекет-систем обязательно проводится лечение кариеса и профессиональная чистка.
Итог
Правильная подготовка к установке корректирующих конструкций даст гарантию качественного и быстрого исправления деформаций. Рентгенологическое фото является обязательным этапом такой подготовки, поскольку дает представление о состоянии всех тканей ротовой полости.
Частые вопросы
Какие снимки зубов необходимы для установки брекетов?
Для установки брекетов обычно требуется сделать рентгеновский снимок зубов, такой как панорамный снимок или телерентгенограмма. Эти снимки позволяют ортодонту оценить положение зубов, костную структуру и другие факторы, которые могут повлиять на лечение.
Как часто нужно делать снимки зубов во время ношения брекетов?
Частота снятия снимков зубов во время ношения брекетов может варьироваться в зависимости от индивидуальных потребностей пациента и рекомендаций ортодонта. Обычно рентгеновские снимки делаются при начале лечения, чтобы определить исходное положение зубов, а затем периодически во время лечения, чтобы оценить прогресс и внести необходимые корректировки.
Могут ли снимки зубов для брекетов быть опасными для здоровья?
Снимки зубов для брекетов обычно безопасны для здоровья, так как они используют минимальное излучение рентгена. Однако, как и при любом медицинском процедуре, есть некоторый риск излучения. Ортодонты и рентгенологи принимают все необходимые меры предосторожности, чтобы минимизировать этот риск, например, используя защиту тела и ограничивая количество снимков до минимально необходимого для диагностики и лечения.
Полезные советы
СОВЕТ №1
Перед тем, как сделать снимки зубов для брекетов, рекомендуется посетить стоматолога для осмотра и консультации. Врач сможет оценить состояние зубов и дать рекомендации по необходимым снимкам.
СОВЕТ №2
Выбирайте специализированные стоматологические клиники, которые имеют опыт работы с брекет-системами. Такие клиники обычно оснащены современным оборудованием, которое позволяет сделать качественные снимки зубов для брекетов.
СОВЕТ №3
При съеме снимков зубов для брекетов, важно следовать указаниям врача и не двигаться. Это поможет получить четкие и качественные снимки, которые будут использоваться при планировании и установке брекет-системы.





