Дистальный прикус, или прогнатия – это нарушение смыкания зубных рядов в горизонтальной плоскости. У данной аномалии есть несколько названий – постериальный и прогнатический прикус, верхнечелюстная, зубоальвеолярная, скелетная и функциональная прогнатия, макрогнатия. Код патологии, согласно международной классификации МКБ 10, – К 07.20.
В двух словах дистальный прикус можно описать так: верхняя челюсть выдается вперед, а нижняя челюсть – назад. Подбородок развит слабо, он выглядит неестественно маленьким и плавно переходит в шею. Из-за этого меняется лицо, которое выражает то ли удивление, то ли недовольство.
Причины
Дистальный прикус относится к аномалиям, предрасположенность к которым может передаваться по наследству. Однако нарушение формирования окклюзии происходит под влиянием внешних факторов и приобретенных заболеваний.
- У всех грудничков верхняя челюсть всегда немного выступает вперед, но не более чем на сантиметр. Между челюстями есть саггитальная щель, которая в дальнейшем постепенно закрывается. Однако при кормлении готовыми смесями ребенок почти не прилагает усилий во время сосания, что замедляет развитие нижней челюсти.
- Дистальная окклюзия зубных рядов часто встречается среди детей, в детстве страдавших рахитом.
- Несколько реже она диагностируется при патологиях ЛОР-органов, сопровождающихся нарушением носового дыхания. Это может быть искривление носовой перегородки, аллергический ринит, аденоиды.
- На формирование прикуса негативно влияют оральные привычки – сосание пальца или соски; недостаточное поступление и/или усвоение кальция и фтора, запоздалое введение в рацион твердых продуктов, ранняя потеря временных зубов.
На заметку!
Дистокклюзия может быть также врожденным пороком, следствием родовой травмы, механических повреждений челюстей и нарушения осанки.
Симптомы и внешние признаки
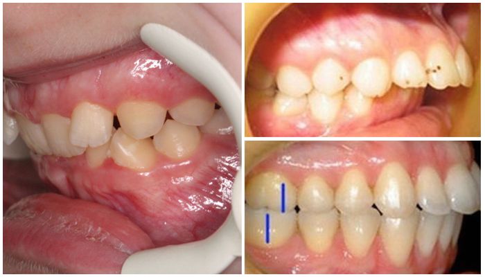
Дистальный прикус характеризуется смещением боковых зубов и выпячиванием вперед верхних резцов, клыков, а иногда и премоляров. Передние резцы не смыкаются с зубами-антагонистами, образуя саггитальную щель разной величины.
Дистальное положение зубов нередко диагностируется вместе с глубоким или открытым прикусом. Отмечается увеличение верхнего зубного ряда, из-за чего между зубами появляются широкие промежутки – диастемы и тремы.
Выдвинутая вперед челюсть и почти не выступающий подбородок делают лицо похожим на птичье. Верхняя губа приподнимается, передние верхние зубы торчат впереди, а нижняя губа и подбородок остаются сзади.
На заметку!
Рот обладателя дистального прикуса чаще всего приоткрыт, губы не соединяются полностью, складка на подбородке резко выражена.
Дистальный прикус не только портит внешность, но и вызывает ряд неприятных симптомов:
- трудно откусывать, жевать и проглатывать пищу;
- сложно дышать носом, и пациенты часто переходят к ротовому дыханию;
- ощущается дискомфорт и болезненность в суставах челюстей (ВНЧС);
- нарушается речевая функция.
Виды
Открытый дистальный прикус классифицируется по Энглю, Бетельману, Хорошилкиной, Эль-Нофели и др. Доктор Энгль относил его ко второму классу смыкания зубов, но выделял 2 подкласса. В первый подкласс входят дефекты, при которых верхние зубы расходятся веерообразно, а в боковых рядах наблюдается сужение.
Второй подкласс включает аномалии с наклоном верхних зубов, расположенных посередине ряда, внутрь, в сторону неба. Боковые зубы растут в направлении щеки и развернуты по оси. Сагиттальная щель между передними зубами отсутствует.
По классификации Бетельмана, дистокклюзия подразделяется на несколько видов, которые характеризуются:
- увеличением верхней челюсти при сохранении размеров нижней;
- увеличением нижней челюсти при сохранении размеров верхней;
- увеличением обеих челюстей;
- несмыканием челюстей в передне-заднем направлении и сжатием верхней челюсти по бокам.
Классификация Хорошилкиной делит дистокклюзию на гнатическую (перекрестную), зубоальвеолярную и комбинированную.
Эль-Нофели предложил рассматривать дистальный прикус в двух вариантах – зубном и скелетном:
- зубная форма характеризуется мезиальным (сдвинутым вперед) расположением верхних зубов и измененной конфигурацией верхнего зубного ряда;
- скелетная форма обусловлена нарушением развития лицевых костей.
Важно!
Иногда можно слышать термин «глубокий дистальный прикус», «глубокая резцовая окклюзия». Это не совсем правильно, поскольку глубокая окклюзия является самостоятельной патологией, хотя и может развиваться на фоне имеющейся прогнатии.
Степень тяжести дефекта оценивается в соответствии с классификацией по Агапову и основывается на величине разобщения смыкания зубов:
- 1 ст. – меньше 5 мм;
- 2 ст. – 5-9 мм;
- 3 ст. – больше 9 мм.
Важно!
При значительной разобщенности смыкания зубных рядов могут не взять в армию.
Диагностика
Неправильный прикус у ребенка или взрослого выявляется в ходе осмотра ортодонтом. Затем проводится панорамная рентгенография черепа, по результатам которой делаются диагностические слепки, и разрабатывается лечебный план.
Чтобы оценить состояние ВНЧС и окружающиих его мышц, применяется обычный рентген или магнитно-резонансная томография (МРТ). При необходимости назначается электромиография, реография. В результате обследования врач получает точную картину расположения, наклона и смещения зубов, а также особенностей строения лицевого скелета.
Методы и аппараты для лечения
Подходы к коррекционному лечению отличаются в зависимости от возраста, выраженности нарушения и характера протекания патологии. Проще всего исправить дистальный прикус у ребенка или подростка, когда еще продолжается или недавно закончилось формирование челюстей.
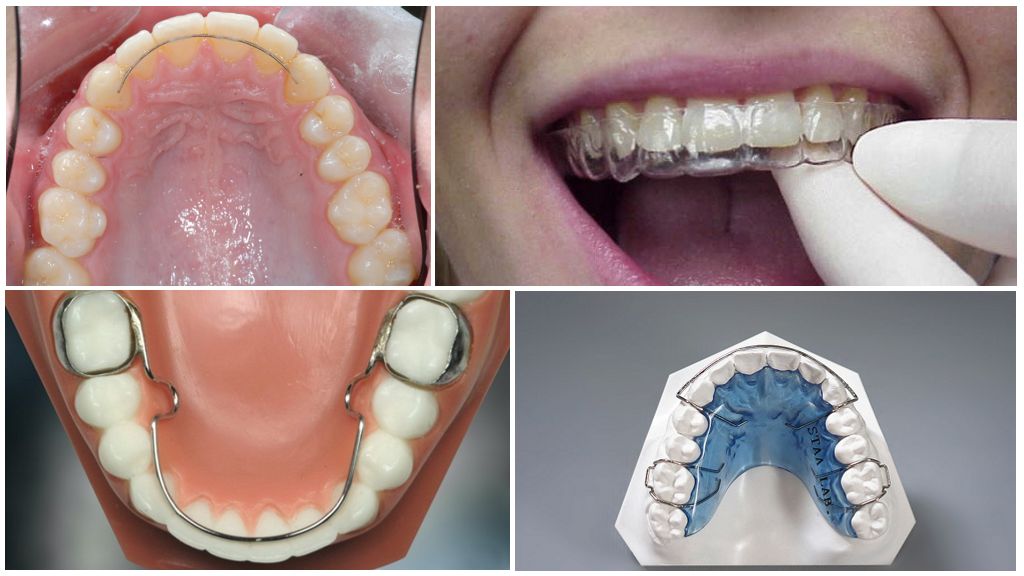
Лечение у взрослых проходит обычно поэтапно с использованием нескольких методов, включая хирургический. Наиболее часто пациентам предлагают поставить брекет-системы. По показаниям их можно сочетать с аппаратами для исправления дистального прикуса. Изменить дистальное положение зубов помогают:
- аппараты Гербста;
- пружина Саббаха;
- лицевые дуги.
Исправление без операции обязательно включает ретенционный период, во время которого закрепляются достигнутые результаты. С этой целью назначаются как съемные, так и стационарные ретейнеры, применяемые в течение нескольких лет. Длительность ретенции в 1,5 – 2 раза больше срока основного лечения и может составлять до четырех лет.
Одним из новейших приспособлений, позволяющих избежать хирургического вмешательства, является аппарат Форсус. С виду он напоминает брекеты, но имеет дополнительные детали;
- верхние щечные трубки;
- модуль EZ;
- мандибулярный стержень для нижней челюсти.
На заметку!
При необходимости к лечению подключают хирургов, которые или удаляют некоторые зубы, или выполняют компактостеотомию. Эта операция заключается в целенаправленном нарушении целостности компактного слоя кости верхней челюсти.
Лечение дистального прикуса у детей
Лечить прикус предпочтительнее до того, как молочные зубы сменятся коренными. Коррекционные мероприятия в этом периоде направлены на замедление роста верхней и активизацию развития нижней челюсти с помощью съемной аппаратуры.
Детям показано лечение без брекетов, но оно может дополняться:
- пришлифовыванием зубов:
- ЛФК для лицевых мышц (миогимнастика);
- удалением «лишних» зубов на верхней челюсти.
На заметку!
Иногда достаточно устранить вредные привычки типа сосания пальца и нормализовать носовое дыхание, пролечив соответствующее заболевание.
Аппарат Катца в ортодонтии применяется для коррекции нижнего зубного ряда путем удержания челюсти в несколько выдвинутом и оттянутом вниз положении. Мышцы находятся в постоянном напряжении, и челюсть постепенно перемещается в заданном направлении.
Пластинки для лечения прикуса работают за счет наличия стальных крючков, пружинок и винтов. Они довольно просты в эксплуатации и назначаются в основном детям.
В годы временного прикуса основной упор делается на восстановление формы и соотношения зубных дуг. Исправить у ребенка прикус помогают аппараты Энгля, Дерихсвайгеля, Гербста, а также небная дуга или бюгель, преортодонтические трейнеры.
Сколько времени исправляется прикус
Продолжительность коррекции варьируется от нескольких месяцев до нескольких лет. Детям в периоде сменного прикуса достаточно год-полтора носить специальное приспособление. У взрослых лечение может занять 2 года и больше.
Брекеты при дистальном прикусе устанавливаются не менее чем на 1,5 года, в сложных случаях этот срок может быть продлен до трех лет. Нельзя забывать и о ретенционном периоде после снятия брекетов или завершения использования ортодонтических аппаратов.
Результаты лечения – фото до и после
Чтобы добиться максимальных результатов, сначала аппаратным методом нормализуют позицию нижней челюсти. Затем под ее новое положение подстраивается верхняя челюсть. Одновременно с ортодонтической коррекцией необходимо работать над осанкой, поскольку расположение челюстей входит в общий двигательный стереотип.
Только после этого в большинстве случаев ставится брекет-система, а при отсутствии зубов осуществляется протезирование. Так создается новое смыкание зубов – правильный прикус. Фото до и после лечения брекетами при таком комплексном подходе будет сильно отличаться.
Что будет, если не исправлять прикус
Помимо внешней непривлекательности, последствиями дистальной окклюзии могут быть:
- пародонтит и пародонтоз, особенно в области дальних зубов;
- частые кариозные поражения;
- дисфункция ВНЧС;
- ухудшение работы органов желудочно-кишечного тракта;
- нарушение речи.
Ошибки при лечении
Основная ошибка, которую допускают врачи-ортодонты, – применение только одной методики. Наиболее популярны в этом смысле брекет-системы. Фото дистального прикуса до и после брекетов, демонстрируемое на этапе подготовки к их установке, обычно сделано при незначительных отклонениях либо у молодых людей.
Еще одной ошибкой может быть удаление премоляров, что требуется крайне редко. Бывают случаи, когда без четких показаний выполняются ортогнатические операции остеотомии верхней или нижней челюсти.
Возможные осложнения
Большинство осложнений так или иначе связаны с предыдущим пунктом – ошибками в оценке причины появления и тяжести проблемы. Удаление верхних четверок и пятерок способно спровоцировать головные боли и ряд других неврологических симптомов.
При ношении брекетов верхние резцы могут наклониться внутрь слишком сильно и повредить корнями костную ткань. Иногда корни даже выходят за пределы десны. Агрессивное лечение иногда приводит к трансформации лица – щеки западают, скулы заостряются, лицо вытягивается и как бы «состаривается».
Профилактика
Превентивные меры эффективны лишь в детском возрасте. К ним относится кормление грудью, своевременное введение в рацион малыша твердых продуктов, пресекание попыток сосания пальцев, профилактика рахита, нарушения осанки и патологий носоглотки.
Итог
Дистальный прикус – тяжелая патология, которая нуждается в лечении. Однако, если следовать предписаниям ортодонта, исправить дефект можно за 1 – 3 года.
Частые вопросы
Какие методы лечения прогнатического прикуса существуют?
Одним из методов лечения прогнатического прикуса является ортодонтическое лечение, которое включает использование брекет-систем, аппаратов и других ортодонтических приспособлений для коррекции положения зубов и челюстей. Также может потребоваться хирургическое вмешательство для коррекции скелетных деформаций.
Как долго может длиться лечение прогнатического прикуса?
Длительность лечения прогнатического прикуса зависит от различных факторов, включая степень деформации, возраст пациента и выбранный метод лечения. В среднем, лечение может занимать от нескольких месяцев до нескольких лет.
Какие могут быть последствия нелеченого прогнатического прикуса?
Нелеченый прогнатический прикус может привести к различным проблемам, таким как сложности при жевании и глотании, деформации лица, проблемы с речью, повышенный риск развития кариеса и пародонтита, а также психологические проблемы, связанные с низкой самооценкой и социальной изоляцией.
Полезные советы
СОВЕТ №1
Обратитесь к ортодонту. Прогнатический прикус требует профессионального лечения, поэтому важно найти опытного ортодонта, специализирующегося на коррекции этого типа прикуса. Он сможет провести диагностику и разработать индивидуальный план лечения.
СОВЕТ №2
Используйте функциональные аппараты. Для коррекции прогнатического прикуса могут быть назначены специальные функциональные аппараты, которые помогут восстановить правильное положение челюстей и зубов. Эти аппараты могут быть съемными или неподвижными, и выбор зависит от индивидуальных особенностей пациента.
СОВЕТ №3
Следуйте рекомендациям ортодонта. Во время лечения прогнатического прикуса важно строго следовать рекомендациям ортодонта. Это может включать ношение аппаратов, регулярные посещения врача, правильное питание и уход за полостью рта. Только соблюдая все инструкции, вы сможете достичь желаемых результатов и избежать осложнений.






