«Капа» в переводе с немецкого означает «крышка», «чехол», «капюшон». Капы для выравнивания зубов, или элайнеры представляют собой изделия из гибкой пластмассы, надеваемые на зубы с целью их защиты от травм или исправления прикуса. Это съемные накладки, сделанные из прозрачного пластика или силикона.
Механизм действия, плюсы и минусы
Капы, исправляющие прикус, надеваются непосредственно на зубы и заставляют их перемещаться за счет деликатного давления. Они практически незаметны на зубах, что является одним из основных преимуществ данных приспособлений. Однако носить капы целесообразно только при небольших дефектах зубного ряда.
Прозрачные каппы выбирают многие пациенты, поскольку они имеют веские преимущества перед другими ортодонтическими аппаратами:
- Сохраняют зубы здоровыми – эмаль не стирается, не обызвествляется и не подвергается кариесу. Состояние эмали никак не меняется в процессе ношения капы и абсолютно не зависит от ее присутствия.
- Незаметны окружающим людям – увидеть, что зубы в капе, можно лишь с близкого расстояния, составляющего меньше трех шагов. Для многих именно этот фактор является решающим при выборе метода, позволяющего исправить прикус.
- Не нарушают речевую функцию, не царапают слизистые рта. Адаптационный период проходит достаточно легко.
- Просты и необременительны в носке и уходе. Не нужно кардинально менять образ жизни и отказываться от любимых продуктов или приспосабливаться к особому проведению гигиенических процедур.
Перед принятием решения об использовании кап для выравнивания прикуса необходимо обязательно учесть их недостатки:
- Высокую стоимость. Ортодонтические каппы тем дороже, чем серьезнее проблема. Это связано с более долгим лечением, и, следовательно, понадобится больше сменных изделий.
- Необходимость самоконтроля и дисциплинированности. Эффективность корректирующих кап на 99% зависит от времени использования: они должны находиться во рту не меньше 20-22 часов в сутки, иначе капа не поможет.
- Выравнивающие капы работают только при сравнительно небольших отклонениях в зубочелюстной системе. Тяжелые деформации и аномалии челюстей лечатся другими способами, но для закрепления результата все же могут применяться стоматологические каппы.
Для чего применяют
Показания:
- скученность зубов, которые буквально «наползают» друг на друга и/или растут вне зубного ряда;
- большие промежутки между зубами – диастемы и тремы;
- глубокий прикус;
- болезни десен;
- повышенная стираемость зубов;
- дисфункция и боли в височно-нижнечелюстных суставах (ВНЧС);
- нарушение функции мышечно-связочного аппарата лица;
- бруксизм;
- подготовительный этап перед имплантацией;
- неправильная работа жевательного аппарата.
Противопоказания
Ортопедические капы бесполезны при скелетных пороках челюстных костей и наличии ретинированных зубов. Они не ставятся пациентам с патологиями ВНЧС, деструктивным поражением альвеолярной ткани и тяжелыми психическими расстройствами.
Важно!
К абсолютным противопоказаниям относятся злокачественные опухоли в полости рта, туберкулез, сердечно-сосудистые патологии в стадии декомпенсации, аутоиммунные нарушения и болезни, при которых снижается плотность костей.
Не применяются зубные капы при сахарном диабете, протекающем в тяжелой форме, серьезных нарушениях функции щитовидной железы, гипофиза и надпочечников. Они противопоказаны также при диагностированном лимфогранулематозе, талассемии, лейкозе, гемолитической анемии и ВИЧ.
Разновидности кап в ортодонтии
Каппы для исправления зубов классифицируются по материалу, времени ношения, возрасту пациента и способу изготовления. Они бывают силиконовыми и полиуретановыми, индивидуальными и стандартными, их носят круглосуточно или только в ночное время, а назначают как детям, так и взрослым.
Силиконовые
Силиконовые капы для зубов имеют значительную толщину, за счет чего снижается комфортность ношения. Обычно их применяют только днем и носят в течение нескольких часов. Достоинством силиконовых изделий является доступная цена: они стоят намного дешевле полиуретановых аналогов.
Объемные капы показаны при наличии психологических проблем, из-за которых сжимаются челюстно-лицевые мышцы и их необходимо расслабить. Они помогают решить проблемы логопедического характера, когда задействована жевательная мускулатура. У ребенка или взрослого может регулярно по ряду причин закладывать нос, что также может быть показанием к использованию каппы для зубов.
Полиуретановые
Именно полиуретановые капы для прикуса наиболее предпочтительны, потому что они легкие и практически неощутимы на зубах, но вместе с тем прочные и надежные. Рекомендуемое время ежедневного ношения составляет около 22 часов.
Круглосуточные и ночные
Наиболее эффективно помогают капы при круглосуточном использовании. Большинство проблем решается именно путем почти беспрерывного ношения, время которого составляет 20 – 22 часов в сутки. Однако снимать их все же необходимо, чтобы почистить зубы или поесть. Сами изделия также промываются мягкой щеткой и пастой.
Ночные капы тоже довольно востребованы и позволяют справиться со многими дефектами. Ортодонты их назначают при небольших изъянах зубочелюстного аппарата и для закрепления достигнутых результатов после ношения брекетов.
Капа на ночь является достойной и порой незаменимой альтернативой оперативному вмешательству при ронхопатии, широко известной как храп. Носить такое устройство днем бесполезно и даже вредно, так как оно будет мешать приему пищи и полноценному общению с окружающими людьми. Такие капы называются нейро-мышечными и устраняют не только симптом – храп – но и ряд его причин.
Взрослые и детские
Невидимые капы уже успели оценить по достоинству пациенты разных возрастов. Однако их незаметность, которая для взрослых является неоспоримым преимуществом, детям не всегда идет на пользу. Особенно если речь идет о малышах дошкольного и младшего школьного возраста.
Дети и подростки не всегда осознают всю важность ортодонтического лечения и могут снимать накладки, когда им удобно или, вернее, неудобно. Поэтому ответственность ложится на родителей: они должны объяснить, каких блестящих результатов можно достичь с помощью капы при выполнении всех рекомендаций ортодонта.
На заметку!
Показания к назначению пластиковых кап у взрослых и детей одинаковы. Они помогают в исправлении глубокого прикуса, убирают широкие щели между зубами и «раздвигают» слишком плотно стоящие зубы.
У детей могут применяться ортодонтические капы для тренировки мышц – трейнеры и LM-активаторы. Их делают из силикона и используют на стадии прорезывания зубов для коррекции молочного, смешанного и постоянного прикуса.
Терапевтическая схема
Для ортодонтического лечения применяются в основном индивидуальные капы, которые изготавливаются по слепкам зубов. Сначала пациент проходит осмотр у стоматолога, который решает вопрос о целесообразности установки кап.
При положительном решении врач дает направление на рентген, и на основании результатов ортопантомограммы составляется план. Лечение прикуса капами проводится по стандартному алгоритму: с зубных рядов снимается слепок, по которому выстраивается 3D-модель для создания сверхточного изделия.
Потребуется несколько съемных капп, которые пациент будет менять сам в соответствии с разработанной врачом схемой. Процесс построен так, что каждая последующая капа слегка отличается от предыдущей.
На заметку!
Перед снятием слепков необходимо вылечить все нуждающиеся в этом зубы, при необходимости провести оздоравливающие процедуры для десен и ультразвуковую чистку. В списке рекомендованных мероприятий – реминерализация зубной эмали.
Сколько времени нужно носить и как часто меняют капы
Стоматологические капы для зубов изготавливаются в течение нескольких недель и выдаются пациенту в промаркированном виде. Согласно условным обозначениям человек меняет их самостоятельно каждые 3 недели или чаще. Перед заменой делается небольшой перерыв.
Коррекция прикуса занимает от года до двух, продолжительность лечения зависит от сложности случая. Иногда достаточно нескольких месяцев, но не меньше полугода. Для оценки результатов и внесения возможных корректив рекомендуется посещать врача ежемесячно.
Правила ухода
Уход за медицинскими капами предельно прост – достаточно промывать их каждый день обычной водой и очищать внутри зубной щеткой с мягкой щетиной. Главное – следить за температурой воды, так как от кипятка пластик может деформироваться.
Важно!
Категорически запрещается кипятить, отпаривать или сушить изделия над горячими источниками в целях обеззараживания. Нежелательно также пить горячие напитки и есть слишком горячую и твердую пищу с капой в зубах.
Правильно носить капу – это значит содержать ее в чистоте и регулярно мыть, даже если она выглядит очень чистой. Внутри пластика могут скапливаться микроорганизмы, способные навредить зубам. Дополнительно разрешается применять специальные дезинфицирующие растворы, предупреждающие образование налета.
На заметку!
При желании можно приобрести футляры-боксы для хранения элайнеров: они очень компактны и имеют небольшие отверстия для вентиляции и подержания оптимальной влажности.
Капа или брекеты – что лучше
Выбирая между этими двумя вариантами, нужно учесть несколько моментов.
- Брекет-системы способны устранить практически все возможные дефекты челюстей. Поэтому в некоторых ситуациях каппы для выравнивания зубов даже не рассматриваются.
- Раньше железные брекеты считались уродующей конструкцией и были крайне неудобны в носке. Теперь многое изменилось, и в молодежной среде накладки превратились в популярный аксессуар. Разноцветные лигатуры, детали в виде цветочков, черепков и разных геометрических фигур сделали брекеты стильными и модными конструкциями.
- Однако по эстетическим соображениям выигрывают элайнеры – они прозрачны и незаметны окружающим. Многих устраивает отсутствие ограничений в пище и простота гигиенических процедур.
Выбор зависит от предпочтений конкретного человека, при условии его одобрения врачом. Капы вместо брекетов можно рекомендовать публичным людям – артистам, политикам, музыкантам или телеведущим.
Популярные бренды
Прозрачные капы для выпрямления зубов выпускают несколько производителей. Самыми известными и популярными являются Invisalign, Star Smile и 3D Smile.
- Invisalign первыми появились на рынке ортодонтических устройств и завоевали признание благодаря применению современных технологий. Весь процесс создания элайнеров моделируется компьютерной программой Clin Check от компании Align Technologys.
- Под брендом Star Smile производятся отечественные изделия, не уступающие по качеству зарубежным аналогам, но более доступные по цене. Компания реализует свою продукцию не только в России, но и экспортирует ее в США, Канаду, Новую Зеландию, ОАЭ, Австралию, страны Ближнего Зарубежья и т. д.
- 3D Smile – это участник инновационного центра Сколково, который всего за несколько лет вышел в тройку лидеров среди стартапов, по версии Forbes. Компания представляет свои изделия как систему, объединяющую достоинства брекетов и элайнеров прежних поколений с суперточными технологиями 3D-моделирования и печати.
Сколько стоят капы для выпрямления зубов
Цена зависит от бренда:
- Самыми дорогими капами в стоматологии являются Invisalign, которые стоят от 270 000 до 350 000 руб.
- Star Smile обойдется в сумму от 80 000 до 250 000 руб.
- Капа от 3D Smile почти не уступает по цене американским конкурентам: стоимость лечения составляет около 250 000 руб.
Цена одночелюстной капы, соответственно, примерно вдвое дешевле. Цены указаны по Москве и Санкт-Петербургу.
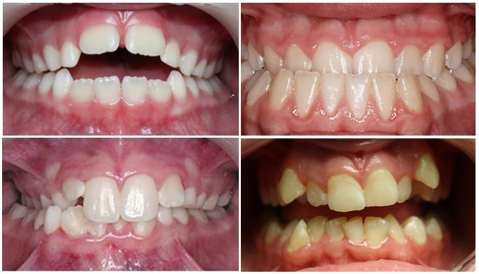
Результаты ношения – фото до и после
В 2015 году сотрудники Национального института здравоохранения США провели независимое исследование, в ходе которого сравнили, как работают капы Invisilign и металлические брекет-системы. Ученые пришли к выводу, что результаты лечения практически не отличаются.
Однако капы уступают брекетам по смыканию зубов по завершении коррекции, что обусловлено особенностями конструкции, полностью покрывающей зубы пластмассой или силиконом. Специалисты знают об этом недостатке и выравнивают зубные ряды с помощью эластичных тяг на элайнерах.Отзывы
Чтобы выровнять зубы, мне потребовалась вся выдержка и самоконтроль, на который я способна. Были и боль, и неудобства, и дискомфорт, особенно по ночам. Накладка то давила на зубы, то тянула, и ее часто хотелось снять. Зато результат – шикарный, мучения были не зря.
Людмила, Саратов
Если есть возможность выбрать капы на зубы для выравнивания – выбирайте! Привыкаешь быстро, не надо стесняться открывать рот на людях, есть можно все, зубы не портятся – и плюс в конце лечения получаешь ровные зубы. Максимальный результат при минимальных затратах, если не считать финансовых.
Виктор Николаевич, Мурманск
Итог
Коррекция прикуса элайнерами достаточно эффективна, а ее целесообразность определяется врачом-ортодонтом. Капы выглядят на зубах как прозрачная пленка и незаметны окружающим. В этом их основное достоинство.
Частые вопросы
Какие проблемы исправляют стоматологические капы для прикуса?
Стоматологические капы используются для исправления различных проблем с прикусом, таких как перекрытие, неправильное выравнивание зубов, перекосы и недостаточное пространство между зубами.
Как долго нужно носить стоматологические капы для исправления прикуса?
Время ношения стоматологических кап для исправления прикуса зависит от сложности проблемы и индивидуальных особенностей пациента. Обычно это занимает от нескольких месяцев до нескольких лет.
Какие преимущества имеют стоматологические капы для исправления прикуса по сравнению с другими методами?
Стоматологические капы являются неинвазивным и необратимым методом исправления прикуса. Они позволяют пациентам избежать хирургических вмешательств и длительного лечения. Кроме того, капы могут быть сняты для еды и чистки зубов, что облегчает уход за полостью рта.
Полезные советы
СОВЕТ №1
Перед тем, как приступить к использованию стоматологических кап для исправления прикуса, обязательно проконсультируйтесь с врачом-стоматологом. Он сможет оценить состояние вашего прикуса и подобрать наиболее подходящую модель капы.
СОВЕТ №2
При первом использовании стоматологической капы, начните с небольшого времени ношения, постепенно увеличивая его. Это поможет вашим челюстям и мышцам привыкнуть к новому положению и избежать дискомфорта.
СОВЕТ №3
Регулярно следите за состоянием капы и при необходимости обращайтесь к стоматологу для ее коррекции. Неправильно подобранная или изношенная капа может не только не исправить прикус, но и привести к дополнительным проблемам со зубами и челюстями.










