Ретрузия и протрузия – это диагнозы, которые ставят пациентам при неестественном положении отдельных зубов. Исправить их можно только с помощью ортодонтического лечения. Ретрузия зубов формируется у детей или развивается в процессе жизни. Чем раньше заняться лечением патологии, тем легче будет достигнуть желаемого результата.
Причины появления проблемы
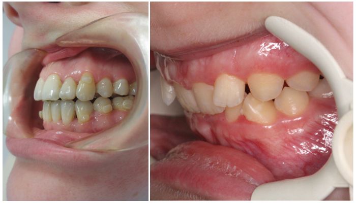
В стоматологии протрузией называют состояние, при котором зубы растут вперед. Они направлены режущим краем к преддверию ротовой полости. Это положение формирует у пациента острый угол относительно всей челюсти. Ретрузия верхних резцов – это обратное состояние, при котором верхние зубы отклоняются кзади, образуя угол в отношении всей челюсти. При ретрузии нижние зубы торчат вперед, а верхние смотрят в сторону языка.
Основной причиной торчащих зубов становится недостаток места в челюсти, в результате чего резцы начинают выпирать в ту или другую сторону. Также анатомический дефект может развиться у человека после длительного механического воздействия на прикус. Такое случается после ношения брекетов, если не была проведена ретенционная терапия.
Ретрузия и протрузия резцов верхней челюсти возникает под влиянием следующих факторов:
- Крупный размер коронки соседних элементов. В результате возникает постоянное давление. Это становится причиной того, что зубы выдвинулись.
- Анатомическая врожденная недоразвитость челюстно-лицевого аппарата. Отсутствие свободного места приводит к тому, что два зуба в центре прорезались и отклонились в сторону.
- Гипердонтия.
- Задержка смены молочного прикуса на постоянный. Когда коренные зубы появляются, а молочные продолжают оставаться в ряду.
- Нарушение закладки прикуса в период внутриутробного развития.
- Вредные привычки в виде длительного сосания пальца или соски. Привычка грызть кончик карандаша или ручки.
- Изменение положения челюсти, которое развивается в результате неправильного дыхания. Предпосылками становятся ЛОР-заболевания.
Виды форм протрузии и ретрузии
Ортодонтия выделяет несколько форм анатомического дефекта:
- Протрузия челюсти сверху. Затрагивает верхние резцы. Зубы выдвигаются вперед.
- Деформация нижней челюсти, в результате которой зубы двойки вышли вперед. Одновременно верхние резцы смещаются назад.
- Бимаксиллярная форма. Зубы выдвигаются на верхней и нижней челюсти одновременно.
Симптомы и диагностика
Выпирающие 2 передних зуба обычно видно невооруженным взглядом. Если посмотреть на фото зубов пациента с данной аномалией, то будет заметно деформированный прикус. От силы изменений зависит выраженность симптомов.
- Если передние зубы выпирают вперед, то у пациента появляются речевые дефекты.
- Когда патология формируется у ребенка, возникают трудности в обучении.
- Если выпирает зуб на верхней челюсти, то возникают трудности с закрыванием рта.
- При чрезмерной протрузии верхняя десна выпирает так, что в спокойном состоянии рот остается открытым на 4 мм или более.
- Если зубы растут неправильно, то появляются комплексы. Особенно тяжело от них избавиться, если проблема появилась в детском возрасте.
Что делать, если зубы выпирают вперед
Если резцы выходят из своего нормального положения и начинают выпирать, то это становится заметно сразу. Уже на начальном этапе формирования неправильного прикуса родителям надо показать ребенка врачу. Только стоматолог-ортодонт поможет решить проблему и исправить аномалии прикуса уже на ранних этапах их формирования. Если посмотреть на человека до и после лечения, то сомнения в необходимости проведения коррекции исчезают.
Исправление ретрузии и протрузии выполняется двумя методами. Подходящий способ выбирается индивидуально после того, как будет оценена тяжесть деформации прикуса.
При наличии места
Если один зуб выпирает вперед или отклоняется назад, то решить проблему и исправить дефект будет легче. Когда между резцами, клыками и премолярами есть свободное пространство, его используют для смещения элементов челюсти. Такое состояние является более благоприятной перспективой.
При незначительной деформации пациенту рекомендуется лечение брекетами или ортодонтическими конструкциями несъемного типа. Желательно начинать терапию после прорезывания постоянных жевательных зубов. Однако иногда коррекция прикуса выполняется в более ранние сроки.
Если пространство отсутствует
Если у пациента присутствует скученность, а свободное место в челюсти отсутствует, то исправление прикуса будет более сложным и длительным. В данном случае сначала требуется удаление одного или нескольких элементов. Чаще всего выбор падает на премоляры или зубы мудрости (при наличии таковых). После этого выполняется ортодонтическое исправление прикуса. При брекетах клыки смещаются в область расположения прежнего зуба. Одновременно сила давления распрямляет резцы и возвращает их в анатомически правильное положение.
Важно!
После снятия ортодонтической системы необходимо носить трейнеры или элайнеры. Они закрепляют полученный результат. Без этого прикус может вернуться в исходное положение или зубы способы разъехаться в непредвиденную позу.
Если в спокойном состоянии губы из-за десен расходятся более, чем на 1 см, назначается хирургическое вмешательство. Исправить прикус с помощью ортодонтического аппарата будет сложно. Пациент может долго носить брекеты, но они не принесут заметных улучшений. Поэтому целесообразно оценивать перспективу выбранной методики еще до начала коррекции прикуса.
Что будет, если не лечить зубы
Ретрузия и протрузия зубов являются дефектами, которые серьезно затрагивают эстетику улыбки. В результате у человека появляются комплексы. Со временем проблема не решается самостоятельно, а дефект только прогрессирует. Поэтому важно лечить зубы сразу, как только будет обнаружена проблема. При протрузии и ретрузии появляются осложнения:
- Нарушается дикция. Это вызывает социальные комплексы и карьерные трудности. У детей ухудшается школьное обучение.
- Зубы меняют свое положение. Выпирающие резцы со временем могут наслаиваться друг на друга, между ними способны появляться щели и зазоры.
- Повреждается поверхность зуба. Из-за протрузии они больше подвержены механической нагрузке. В течение жизни они чаще скалываются, растрескиваются и отламываются.
- Ухудшается работа пищеварительного тракта. Поскольку пациент не может полноценно обрабатывать пищу, повышается нагрузка на ЖКТ.
- Изменение внешнего вида. Со временем протрузия становится более выраженной. Это приводит к внешнему изменению челюсти. Особенно заметны последствия у людей с некрупными чертами лица и тонкими губами.
Профилактика
Для профилактики формирования зубочелюстных аномалий рекомендуется:
- Избегать во время беременности негативного влияния внешних факторов, которые могут привести к формированию зубочелюстных аномалий у будущего ребенка.
- Своевременно отказываться от использования пустышки и бутылочки для детей.
- Вовремя вводить первый прикорм.
- Следить за последовательностью прорезывания молочных и коренных зубов.
- Исключать формирование вредных привычек у ребенка, следить за осанкой.
- Вовремя лечить патологии ЛОР-органов и избегать их хронизации.
- После ортодонтического лечения использовать ретейнеры или другие фиксаторы, которые позволяют закрепить полученный результат.
Итог
Протрузия является не только эстетическим недостатком, но и может снизить качество жизни пациента. Патология со временем не проходит самостоятельно, поэтому не надо рассчитывать на чудо. Исправить выпирающие или вдавленные зубы можно только с помощью комплексного лечения. Его объем и стоимость будут зависеть от исходного состояния ротовой полости конкретного пациента.
Частые вопросы
Какие причины могут привести к тому, что зубы начинают выпирать вперед?
Зубы могут начать выпирать вперед по разным причинам. Одной из самых распространенных причин является неправильное положение челюстей, когда верхняя челюсть смещается вперед относительно нижней. Это может быть вызвано генетическими факторами или неправильным развитием челюстей в детском возрасте. Также, зубы могут начать выпирать вперед из-за привычки сосать палец или использовать соску после того, как зубы уже начали расти.
Какие методы исправления зубов, выпирающих вперед, существуют?
Существует несколько методов исправления зубов, выпирающих вперед. Один из самых распространенных методов — это ношение брекет-системы, которая позволяет постепенно переместить зубы в правильное положение. Другой метод — это ношение съемных аппаратов, таких как ретейнеры или пластинки, которые помогают держать зубы в нужном положении. В некоторых случаях может потребоваться хирургическое вмешательство, например, удаление зубов или коррекция костной ткани.
Какие последствия могут быть, если не исправлять зубы, выпирающие вперед?
Если не исправлять зубы, выпирающие вперед, могут возникнуть различные проблемы. Во-первых, неправильное положение зубов может привести к неправильному прикусу, что может затруднять жевание и говорение. Кроме того, зубы, выпирающие вперед, могут быть более подвержены травмам и повреждениям при ударах или падениях. Также, неправильное положение зубов может негативно сказаться на внешнем виде улыбки и самооценке человека.
Полезные советы
СОВЕТ №1
Обратитесь к ортодонту. Он проведет осмотр и определит, какие методы исправления зубов вам подходят. Возможно, вам понадобится носить брекеты или съемные аппараты, которые помогут выровнять зубы и вернуть им правильное положение.
СОВЕТ №2
Подумайте о возможности применения эстетической стоматологии. Если вам необходимо исправить небольшие дефекты зубов, такие как незначительное выпирание, можно воспользоваться методами эстетической стоматологии, например, винирами или композитными реставрациями. Они помогут вам получить ровный и красивый улыбку без необходимости носить брекеты.






